見た目が良い!ノンクラスプデンチャーについて
こんにちは。明石市朝霧町にある歯医者、みのりの歯科です。
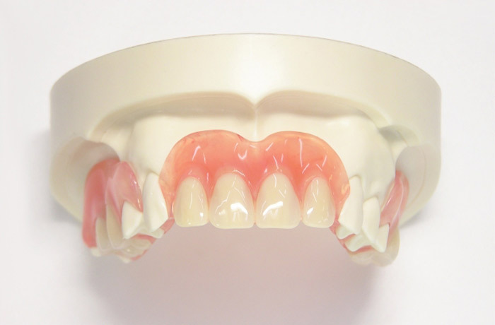
歯を失ったときの治療方法の一つに部分入れ歯があります。しかし、入れ歯というと金属のバネが見えてしまい、見た目が気になるという方も少なくありません。そのような方に選ばれることがあるのがノンクラスプデンチャーと呼ばれる入れ歯です。金属のバネを使わないため、見た目が自然で入れ歯だと気づかれにくいという特徴があります。
ここでは、ノンクラスプデンチャーとはどのような入れ歯なのか、メリットや検討する際のポイントについて解説します。
目次
ノンクラスプデンチャーとは
金属のバネがない入れ歯

ノンクラスプデンチャーとは、金属のバネ(クラスプ)を使用しないタイプの部分入れ歯のことです。一般的な部分入れ歯では、残っている歯に金属のバネを引っかけて固定します。
しかし、この金属のバネが外から見えると、入れ歯をしていることが分かりやすくなってしまいます。ノンクラスプデンチャーは金属の代わりに歯肉に近い色の樹脂素材を使い、歯や歯肉にフィットさせて支える構造になっています。
部分入れ歯の一種
ノンクラスプデンチャーは、歯を全て失った場合ではなく、数本の歯を失った場合に使用される部分入れ歯の一種です。歯を失った時の治療方法には、ブリッジやインプラントなどもありますが、それぞれに特徴があります。ノンクラスプデンチャーは外科手術を必要とせず、比較的短期間で作製できることもあり、選択肢の一つとして検討されることがあります。また、残っている歯を大きく削らずに作ることができるケースもあるため、歯への負担を抑えたい方に選ばれることもあります。
ノンクラスプデンチャーのメリット
入れ歯だと気づかれにくい

ノンクラスプデンチャーの大きな特徴は、見た目の良さです。金属のバネがないため、笑ったときや会話をしているときでも入れ歯が目立ちにくいのが特長です。特に前歯に近い部分の歯を失った場合には、見た目が気になるという方も多いですが、ノンクラスプデンチャーは歯肉の色に近い素材を使うため目立ちません。見た目を重視したい方にとっては、良い選択肢の一つとなる入れ歯です。
違和感が少ない
一般的な部分入れ歯では、金属のバネが歯に引っかかることで違和感を感じる場合があります。ノンクラスプデンチャーは柔軟性のある素材を使用するため、歯肉にフィットしやすい構造になっています。
金属アレルギーの方にも選択しやすい
ノンクラスプデンチャーは金属を使用しない設計のものが多いため、金属アレルギーが心配な方でも選択しやすいです。
ノンクラスプデンチャーを検討する際のポイント
適応できるケースとできないケースがある

ノンクラスプデンチャーは見た目の面で優れていることがありますが、全てのケースに適しているわけではありません。失っている歯の本数や位置、残っている歯の状態、噛み合わせなどによっては、別の治療方法の方が適している場合もあります。そのため、どの入れ歯が良いかはお口の状態を確認して歯科医師と相談することが大切です。
耐久性や修理について理解しておく
ノンクラスプデンチャーは柔らかい素材を使用することが多く、使用状況によっては変形や破損が起こることもあります。また、一般的な入れ歯に比べて修理や調整が難しい場合もあるため、あらかじめ特徴を理解しておくことが重要です。長く使用するためには、定期的なチェックやメンテナンスを受けることが大切です。
【まとめ】
ノンクラスプデンチャーは金属のバネを使用しない部分入れ歯で、目立ちにくいという特徴があります。見た目を重視したい方や、金属アレルギーが心配な方にとって選択肢の一つとなることがあります。ただし、全てのケースに適応できるわけではなく、お口の状態によって適した治療方法は異なります。
入れ歯の種類や特徴を理解し、歯科医師と相談しながら治療方法を選ぶことが大切です。
